Wednesday, March 28, 2012

Shadowing: Open Heart Surgery

Yesterday, I shadowed an anesthesiologist friend of mine. I had shadowed him before, and seen some amazing procedures, both in terms of the anesthesiology and the surgery. But this time was the best by far. I got to see a fascinating cardiac case -- open heart surgery. It was a complex case; a double valve replacement (mitral and aortic) and a valve repair to boot (tricuspid). 
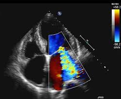
One interesting thing was that before the surgery, they weren't entirely sure whether they were going to be repairing the tricuspid valve. So the anesthesiologist did an echo by sliding a probe into the patient, near the patient's heart, and rotating the probe to look at the different valves on a screen. He could also turn on a blood flow feature, which showed us different colors, each color illustrating a different blood velocity. This allowed us to see whether there was regurgitation, aka "regurg," which there was, from all three valves in question. (The image of a heart echo above shows mitral regurgitation, or blood flowing in the wrong direction, similar to what this patient had.) 

During the surgery, I was on the anesthesiologist's side, behind the surgical curtain. But they got me a step stool so I could peer into the field. I did this during almost the whole surgery, with the exception of a quick lunch break. I watched the initial incision, the cracking of the rib cage (with a giant chisel!), the separating of the pericardium from the heart, cutting into the heart, the placement of the valves. It was amazing to see a live, beating, human heart just a foot or two away from my face. And then suddenly, it was no longer beating, as they had put the patient on bypass to do the more delicate parts of the surgery (the valve replacements and repair). They cooled the patient's body to 25 degrees, and literally bypassed blood flow to and from the heart, oxygenating the blood with a perfusion machine and returning it to the body via tubing. They also used a cocktail of compounds (including potassium) to keep the heart from beating during that time.

It was a long surgery; around five hours. (And this does not count the time the anesthesiologists spent prepping and anesthetising the patient.) I felt privileged to be able to see how modern medicine has made such a procedure possible. And so incredibly ready to start medical school ...

2 comments:

  1. Thank you for sharing. I came here from OldPreMeds. I'm just starting my post bacc studies (in Physiology now) and am super interested in the heart. This makes me so jealous and so happy for you. :-)

    Maggie a.k.a. subgenre

    ReplyDelete
  2. Thanks for the comment, Maggie! I'm glad to have another OPMer here. :-) And indeed, the heart is fascinating. I'm honestly jealous of you, too - I didn't have the chance to take physiology, and I really wish I had. Too many courses, too little time, right?!

    Anyway, I HIGHLY recommend doing some shadowing, surgical or otherwise, if you can. It's great experience, and also something that admissions committees look for on your application.

    Best wishes to you!

    ReplyDelete